 
        
        
      
    
    Our Smile Gallery
Private Upper & Lower Dentures
Before
After
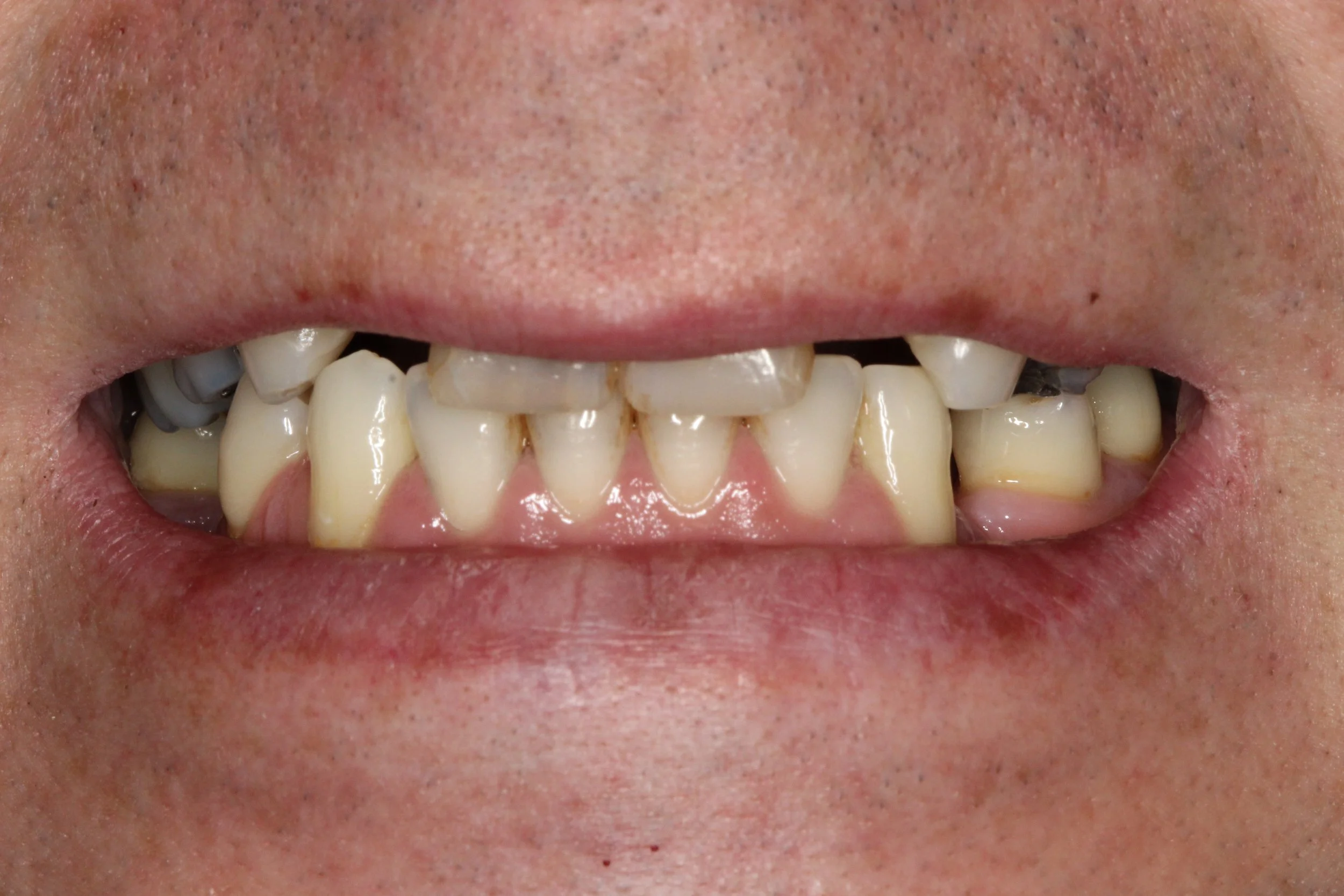
Crown & Bridge
Before
After
Bridges to replace missing teeth
Before
After
C-Fast Aligners & Veneers
Before
After
 
        
        
      
    
     
            
            
          
              Before
After
Before
After
Before
After
 
            
            
          
              Before
 
            
            
          
              After